Ukopha emva kokuxubha kuyinkomba yenkinga ezinsinini

Simangaliso Ntshangase|Published

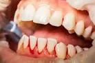
ONGOTI bezempilo baxwayisa ngobungozi bokopha emazinyweni

Image: sigciniwe

KUNGENZEKA ukuthi uma uqeda ukuxubha amazinyo akho, kuthi lapho usuphimisela udoti ngaphandle, amanzi anodoti aphume negazi, kuthi ngokunganaki nje - umane ushiye kanjalo ngoba uzitshela ukuthi yisiwombe noma yinto engatheni.

Nokho isikhungo sezempilo esizimele i-Affinity Health sicebise ngokuthi lokho kungaba wuphawu lwengozi enkulu ngoba ukuvuza noma ukopha kwezinsini, ziphume igazi yisimo okungamele nhlobo ukuthi umuntu asizibe.

Nakuba abanye abantu bezitshela ukuthi lokhu kuyisimo esijwayelekile futhi esingenabungozi, kodwa isikhathi esiningi kusuke kuwuphawu olukhomba ukuthi kungase kube wukuthi unenkinga yezinsini zamazinyo, okuyingozi kakhulu ngoba kingaholela ekutheni kuphume amazinyo, futhi kwesinye isikhathi kugcina kwenza nokuthi umuntu abe nokugula okweyamene nenkinga yokusebenza kwenhliziyo.

"Izinsini ezinempilo nezingenankinga akumele ukuthi zophe, yingakho noma ngabe wopha kancane kangakanani ezinsinini zakho uma uxubha amazinyo, lokho kusuke kuyindlela umzimba wakho okutshela ngayo ukuthi kunenkinga ekucathamelayo noma esikhona vele. Ngakho ukusheshe uyisukumele kungasiza ukunqanda ukubhebhetheka komonakalo," kucebisa isikhulu esiphezulu se-Affinity Health, uMnuz Murray Hewlett.

Yini edala ukopha ezinsinini?

Into evame ukudala le nkinga ngamagciwane avame ukuzikholisa emazinyweni, agcine elimaza izinsini. Uma engaphumanga kahle ngenkathi uxubha, ayakhula, avimbanise ezinsinini bese edala isimo esibizwa nge-gingivitis.

Okunye okudala lesi simo yilokhu okulandelayo:

- Ukuqinisa isandla kakhulu esixubhweni sakho uma uxubha.

- Ukushintsha kwama-hormone kowesifazane okhulelwe.

- Ukubhema nokusebenzisa eminye imikhiqizo ene-tobacco.

- Ukuba nokugula okweyamene nesifo sikashukela nokunye ukugula okophisana ngegazi.

Lesi sifo esaziwa ngokuthi yi-periodontal disease siyingozi kakhulu ngenxa yokuthi singenza ukuthi kuphume amazinyo noma kushintshe indlela akheke ngayo, senze nokuthi abe nephunga elibi emlonyeni. kube buhlungu uma uhlafuna nokuthi futhi kwesinye isikhathi sigcina siholela ekutheni umuntu aphathwe yizifo okukhona kuzona esenhliziyo, esohlangothi nesikashukela.

Uya nini kudokotela wamazinyo ukufuna usizo?

Uma izinsini zakho zivama ukopha, noma ngabe zopha kancane kangakanani, kuwuphawu lokuthi kukhona okungahambi kahle emazinyweni akho, ngakho akumele ukuzibe nangengozi. Okunye okuwuphawu lokuthi kumele ubonane nodokotela wukuvuvukala kwezinsini, wukungapheli kwephunga elibi emlonyeni, ukuhlehla kwezinsini emazinyweni, nokushintsha kwendlela ohlafuna ngayo, kube buhlungu uma uhlafuna.

Okumele ukwenze ukuze usizakale:

- Xubha amazinyo akho kabili ngosuku usebenzise isixubho esithambile.

- Susa izinsalela zokudla ezigaxeka emazinyweni akho uma uqeda ukudla.

- Bonana nodokotela wamazinyo okungenani kabili ngonyaka ukuhlanza amazinyo akho.

- Gwema ukubhema nokusebenzisa imikhiqizo ene-tobacco.

- Phuza amanzi kakhulu ngosuku ukuhlanza umlomo wakho.

- Bonana nodokotela uma ukopha kunganqamuki.